مننژیوم
مِنَنْژیوم (meningioma)

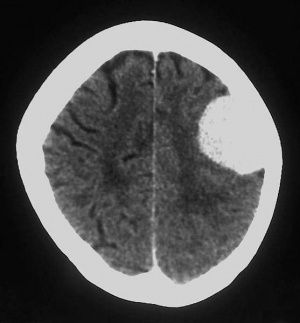
توموری که از پردههای مغز[۱] منشأ میگیرد. این تومور بهآهستگی رشد میکند و تقریباً همیشه خوشخیم است. چنانچه درمانی صورت نگیرد، در مغز باعث ناتوانی عصبی پیشرونده و گاه صرع[۲] میشود. چنانچه در نخاع پدید آید، منجر به فلج اندام تحتانی و ازدسترفتن حس[۳] در آنها میشود. اگر دسترسی به تومور آسان باشد، معمولاً آن را کاملاً خارج میکنند.